アーカイブ: 3月 2017
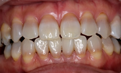
あなたの歯はもっと白くなる!
歯を磨く時や鏡に写った自分の歯を見て「歯が黄色いなあ」「毎日磨いているのに・・・」
「白い綺麗な歯にしたいな」と思っている方もいると思います。
歯が黄色くなる(黄色く見える)には、いろいろな理由と、その改善方法を説明します。
これを参考に、綺麗な歯にしてみませんか?
歯の色とは?
歯は、表面を覆うエナメル層、その内側にある象牙質、中心部にある歯髄(神経)の3構造でできています。
エナメル層には、唾液中の糖タンパクなどによってできる薄い被膜を形成する「ペリクル層」や歯垢による「プラーク層」などの有機物が付着しますが、さらにその表面に飲食物などによる着色物質が付着していくと考えられます。
しかし、歯の色を決定するには、表面のエナメル層だけではありません。
その下の層である象牙質の色によるものが大きいのです。
象牙質の色は真っ白ではなく、乳白色をしていますが、より白っぽい人もいれば、黄色みを帯びている人もいます。
エナメル層は半透明なので、この象牙質の色が透けて見え、それが歯の色となります。
日本人を含む東洋人の黄色人種は、欧米系の白色人種に比べて象牙質が黄色みを帯びていたり、エナメル層が薄く象牙質の色が透けて見えやすいといった傾向があるといいます。
そのため、白色人種に比べると、ホワイトニングで歯が白くなりにくいという特徴があります。
歯が変色する原因は?
外因性の原因
① 飲食物や喫煙
エナメル質の表面に飲食物の色素やタバコのヤニ(タール)が徐々に付着し、やがて目に見える形で着色となって現れます。
飲食物では、色の濃いものは着色しやすいといいますが、特に、以下のものは着色しやすいといいます。
・ポリフェノール・タンニン・カテキンが多く含まれる食品(赤ワイン、コーヒー、紅茶、ウーロン茶、大豆、ぶどう、ココア、チョコレート、ブルーベリーなど)
・色の濃い食品(トマト、ブドウ、カレー、しょうゆ、ケチャップ、ソース、ほうれん草)
② 虫歯
虫歯になると段階的に歯の色が変色します。
初期には歯の色よりも白い色になり、これが進んでエナメル質が虫歯になると黄色みを帯びてきます。
さらに、虫歯が象牙質まで進むと茶色っぽくなり歯髄(神経)に達すると黒っぽくなります。
③ 詰め物やかぶせ物
虫歯治療で使われる金属製の詰め物やかぶせ物は、年月を経て劣化、腐食が進むと金属がイオンとなって溶け出し、歯や歯茎の黒ずみ、紫っぽい変色を招くことがあります。
内因性の原因
① 加齢
年をとるとともに象牙質の色が濃くなってきたり、エナメル質が摩耗して薄くなることで象牙質の黄色みが透けて見えやすくなることが原因。
② テトラサイクリン
テトラサイクリン系の抗生物質を、永久歯の象牙質が形成されてくる時期(乳児~12歳頃)に服用すると、象牙質の着色を起こすことがあります。
紫外線に反応して濃くなるため、特に光が当たりやすい前歯の色が年齢を経るごとに濃くなる傾向が。
歯に対する副作用が報告されてから使用が控えられていますが、一部の呼吸器疾患や皮膚疾患では現在もしようされています。
③ エナメル質形成不全症
歯を形成しているエナメル質が、なんらかの原因によって先天的に障害を受け、歯にくぼみができたり黄色い部分ができたりする状態のことです。
1つの歯のみにあらわれる場合もあれば、すべての歯にあらわれる場合もあります。
約10人に1人の子どもにこの症状がみられるというデータもあります。
④ 高濃度のフッ素
永久歯のエナメル質が形成される8歳までの間に高濃度のフッ素を摂取すると、歯に白斑ができたり、黒褐色に変色する場合が。
主に水道水のフッ化物濃度が高い地域の場合ですが、虫歯予防のためのフッ化物配合研磨剤を1~2歳の乳児に使う際は、濃度が低い泡状や液状のスプレーを使うようにするといいでしょう。
⑤ 歯の神経が死んだ時
外傷などで歯の神経が死んだ時はたいてい出血をともない、赤血球が歯髄内に漏れ出てヘモグロビンが分解され、これが歯髄内で着色物質へと変化し黒ずみの原因に。
以上のように、歯の黄ばみにはお手入れによって飲食物の着色をある程度防げる場合と、自分では防ぎようのない生まれながらの場合や加齢によるものなどがあることを理解しておきましょう。
歯を白くする治療方法
① 歯石、着色除去やPMTC
一度付着してしまったステインや歯石は歯科医院でとってもらいましょう。
原因がステインだけであれば、除去することで白くきれいな歯になります。
歯石が付着している方は歯周病も併発していることがほとんどです。
歯周病の治療も受けて、歯ぐきもきれいにすることで、よりきれいな白い歯になります。
どちらも磨き残しが主な原因です。
3ヶ月に一回の定期的な受診で日頃のブラッシングで落としきれていない汚れをとるこをお勧めします。
② ホワイトニング
原因であげた「加齢」、「歯の神経が死んだ時」に効果のある治療方法です。
加齢による着色は象牙質の色ですから、ホワイトニングでは完全に白くすることはできませんが、変色の程度や状態によって白くできる場合もあります。
神経を取ってしまった歯は、セラミックを被せなければいけないと思っていらっしゃる方も多いと思いますが、その前に試してみる価値のある方法です。
③ 再度の歯科治療
原因であげた「詰め物やかぶせ物」に対しては、再度治療を行います。
むし歯や詰め物の変色、金属による歯の変色はホワイトニングでは改善されません。
④ ポーセレンラミネートベニヤ
すべての原因に対応することができますが、主に前歯の治療になります。
変色してしまった歯の表面を薄く削り、型取りをして、薄いセラミック作製して歯に接着します。
歯を大きく削る必要がないため、ご自身の歯を少しでも大切にしたい方にお勧めです。
咬み合わせなど適応がありますので、すべての方にできる方法ではありませんが、希望される方はご相談ください。
⑤ セラミッククラウン
これはもっと確実に歯を白くすることができます。
しかし、ご自身の歯を大きく土台の形に整える必要があります。
歯の神経がない歯やもともとかぶせ物が入っている歯であれば、さほど気にならないかもしれません。
色や形も変えることができますので、理想的な歯にすることができる方法です。
複数の歯であれば、歯並びや咬み合わせも改善させることも可能です。
またホワイトニングと併用することで、より白くきれいな歯にすることも可能です。
歯の変色の原因と白くする治療方法を述べましたが、色々な原因と方法があります。
保険内で行えるものから、時間と費用をかけてしっかり治すものもあります。
「白くしたい」と悩まれている方、まずは受診して原因と対応方法を相談しましょう。
歯科衛生士:前田由香
2017年3月21日 カテゴリ:未分類
今注目の骨ホルモン!
「オステオカルシン」
今、医学界で大注目のホルモンがあります。それが骨ホルモン(オステオカルシン)です。
そのオステオカルシンについて、今回はお話ししたいと思います。
骨ホルモン?
骨は骨格を形成するための、体を支えるただの骨組みと思っていませんか?
それが実は違うのです。
骨には全く違う役割があることが分かってきたのです。
骨の内部には血管が通り、髄液が詰まっていて、骨から血管も出ています。
そんな骨から分泌されるホルモンがあります。それが骨ホルモン(オステオカルシン)です。
オステオカルシンは、2007年にコロンビア大学のジェラルド・カーセンティ教授によって発見されました。
このオステオカルシンには、様々な臓器を活性化する働きがあることが分かってきました。
脳・・・・神経細胞の結合を維持させ、記憶・認知機能を改善
膵臓・・・膵臓の働きを活発にしてインスリンの働きも活性化
肝臓・・・幹細胞の代謝を向上させ肝機能を向上
心臓・・・心臓を活性化し、動脈硬化を予防
小腸・・・糖などの栄養吸収を促進
精巣・・・男性ホルモンを増やし生殖能力を向上
腎臓・・・骨が作るFGF23というホルモンが腎機能を向上、血液をきれいにしてくれる働きを促進
皮膚・・・皮膚組織と同じ種類のコラーゲンを作り出し、シワの数と相関が高いというデータがある
このほか胃と肺にはオステオカルシンとの関連はまだはっきり分かっていないようですが、オステオカルシンが胃や肺の機能向上させる可能性はあるそうです。
ちなみに、骨密度とオステオカルシンの数値は関係がないことが分かっています。
オステオカルシンのサプリメント?
九州大学の平田雅人教授のマウスによる研究によると、オステオカルシンは経口投与の方が、腹腔内に注射して直接投与するよりも、長時間、血中濃度が高い状態が続くことが分かったそうです。
平田教授は、「経口投与は、医療従事者の手を必要とせず、簡単で安全な投与方法という利点がある。経口投与でオステオカルシンの血中濃度を上げることができるので、代謝改善などメタボリックシンドロームの予防薬として使える可能性がある。オステオカルシンの吸収を促進するような物質が見つかれば、それとの併用投与も有効だろう。研究を重ねて、臨床応用の道を探りたい」と話しています。
なので、今後、オステオカルシンのサプリメントが実用化される日がくるかもしれません。
オステオカルシンが出る方法?
2月15日のNHK「ガッテン!」では、簡単にオステオカルシンの分泌を促進する方法を紹介しています。
骨細胞は長い突起を出して、互いにつながりあっています。なので、ひとつの細胞に刺激を与えると周りの細胞にも次々と刺激が伝わって全身の骨細胞が活性化します。その結果、オステオカルシンの分泌を促します。
そこで、オステオカルシンを増やすために一番お薦めなのが、「かかと落とし」です。
〈かかと落としのやり方〉
(1) 姿勢をよくして、ゆっくり大きく真上に伸び上がる
(2) ストンと一気にかかとを落とす
1日30回以上行う(空いた時間に少しずつでよい)
高齢や体力のない人は、壁などに手をついてやってもOKです。
ただし、絶対に無理はしないでください。
骨粗鬆症の人だけではなく、血糖値が高めの人におすすめです。
オステオカルシンと歯科との関連?
歯の発生は、歯胚の細胞から作られ成長し、口腔内に萌出する複雑な過程であり、なかでもセメント芽細胞がコラーゲン繊維やオステオカルシンのような非コラーゲン性のタンパク質も分泌することが分かっています。
また、チタンインプラントとその周りの成熟骨との間には無構造層が介在し、その無構造層にはオステオカルシンが多量に分布していることも分かってきています(九州大学)。
かかと落としや歩くことなどのかかとに加わる骨への刺激だけでなく、咬むことによる骨への刺激も、オステオカルシンの分泌に大きく影響しているのかもしれません。
昔から、「しっかり歩くことと、しっかり咬むことが、健康で長生きする秘訣」と聞くことが多々ありましたが、様々な研究で実証されているのかもしれません。
私たち歯科医師は、皆様の「咬むこと」を大切にすることで、少しでも健康で長生きすることのお手伝いができれば幸いです。
歯科医師 梶永佳奈代



























